Clidentse es tu clínica dental en Segovia. Porque tu salud bucodental es nuestra prioridad, queremos hacer de tu tratamiento una experiencia positiva.
Estamos dedicados a la Odontología General, a la Ortodoncia en Segovia, implantes dentales, prótesis, periodoncia e higiene dental entre otros, de manera que tratamos todas las especialidades dentales en todas las edades.
Ortodoncia en Segovia
Clidentse es tu clnica de referencia para ortodoncia en Segovia, porque tratamos las malposiciones dentarias y problemas de maloclusión en niños y adultos. De esta especialidad se encarga nuestra ortodoncista exclusiva, la Dra. Ana Subiza.
- Si está indicado, en Clidentse tratamos estos casos mediante “ortodoncia invisible”, un sistema de ortodoncia planificado digitalmente a partir de modelos virtuales obtenidos mediante escaneado de la boca.
- Se confeccionan una serie de férulas transparentes que contienen la “información” del movimiento dentario planificado previamente por un software de diseño ortodóncico. Estas sucesivas férulas, siempre supervisadas por la ortodoncista, son las que generan dicho movimiento dentario.
- Si buscas la mejor solución de ortodoncia en Segovia, consúltanos
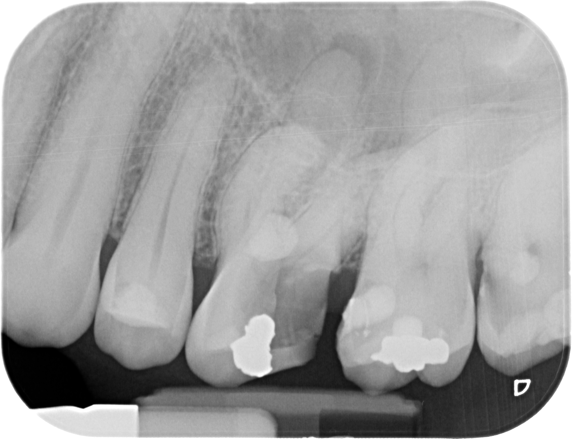
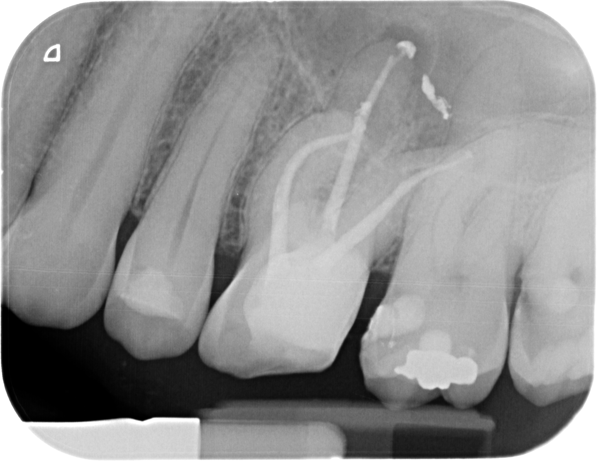
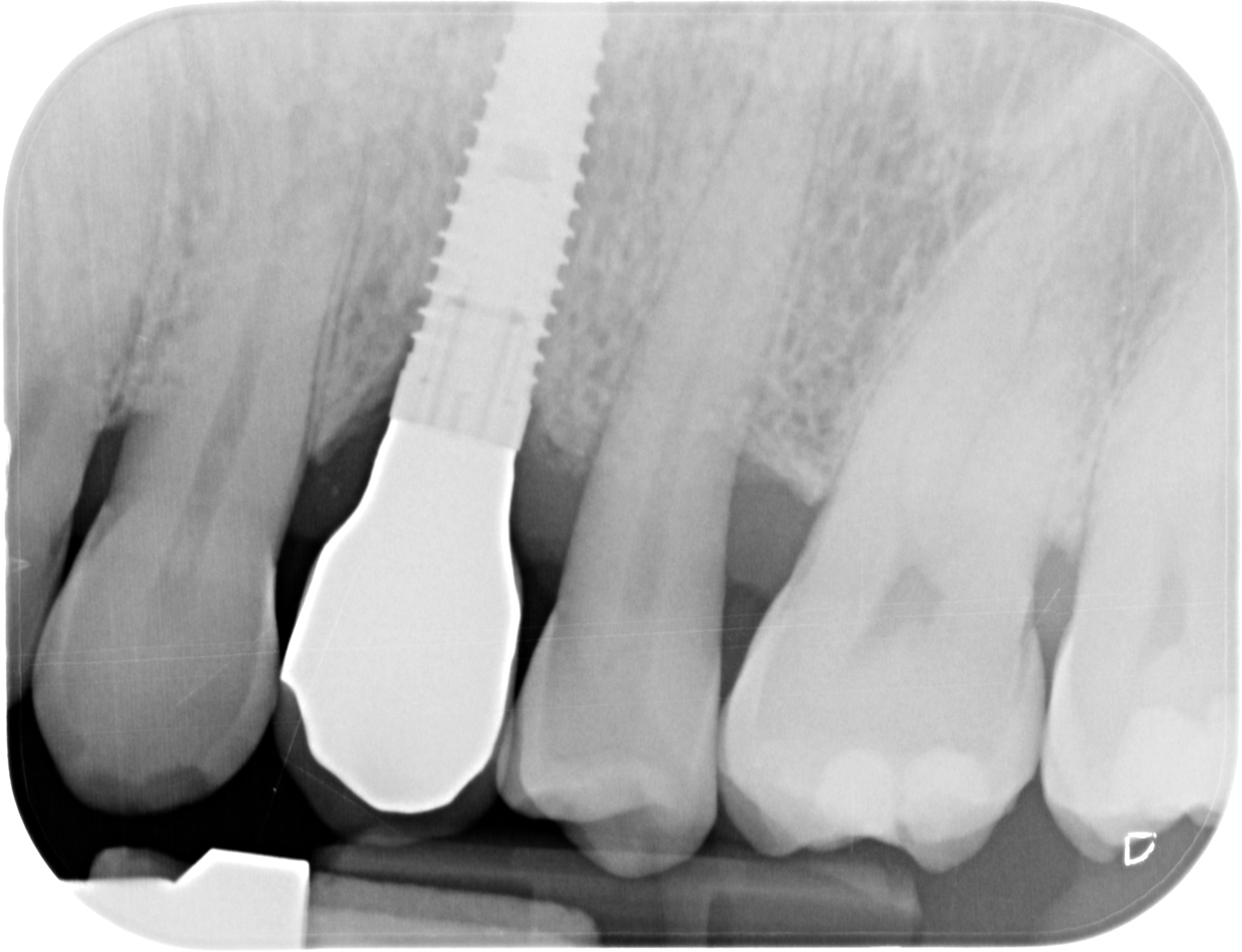
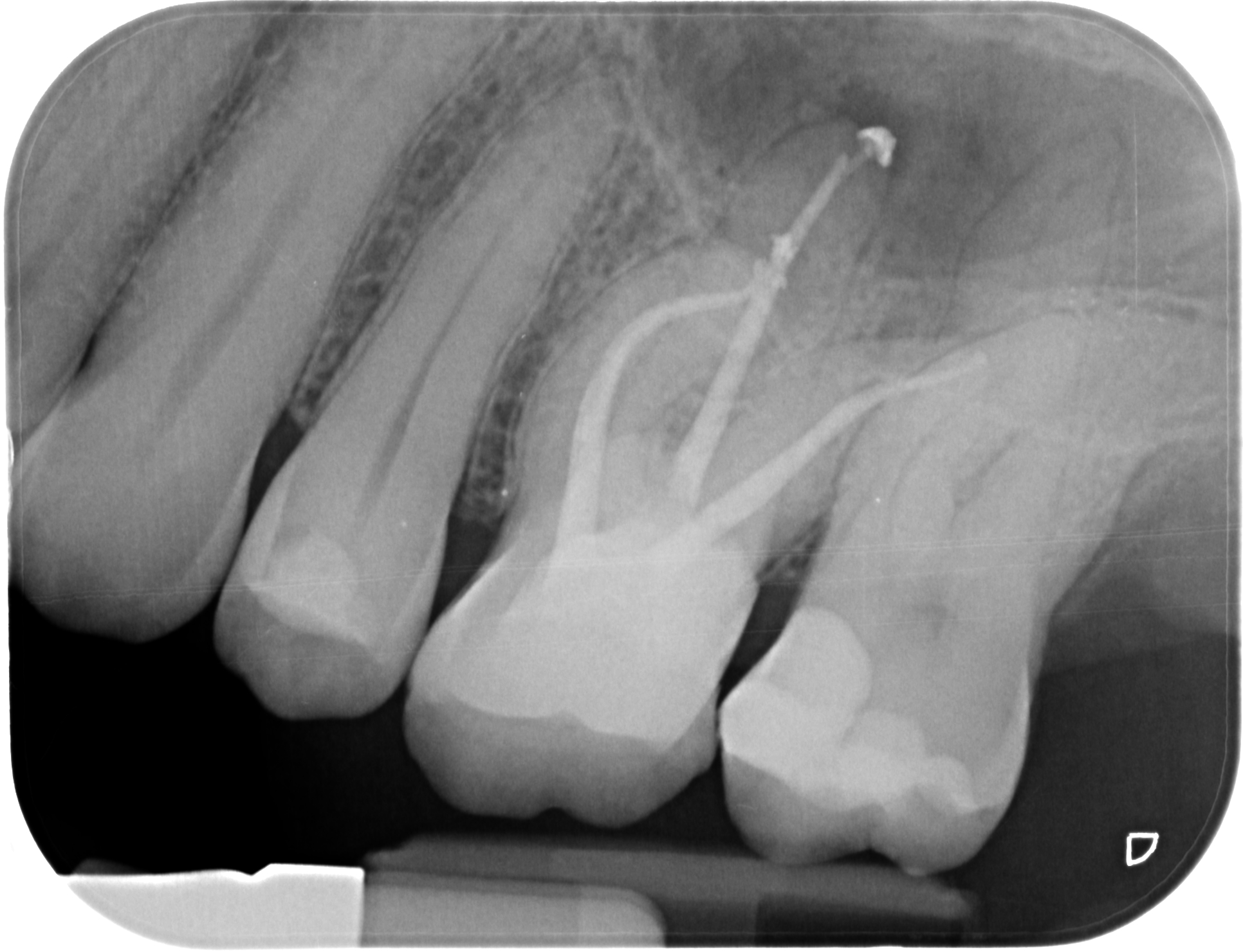
Odontología Conservadora y Endodoncia en Segovia
En Clidentse, tu clínica dental en Segovia, abordamos la odontología conservadora y la Endodoncia, especialidades dedicadas al mantenimiento de los dientes en boca, con la finalidad de devolver al diente su integridad anatómica y funcional.
La Endodoncia es la especialidad que permite conservar el diente en boca cuando la patología pulpar del diente es ya irreversible.
Durante una endodoncia, vulgarmente conocida como “matar el nervio”, lo que hacemos es eliminar el tejido pulpar (el nervio) enfermo y conformar y desinfectar todo el sistema de conductos radiculares, para luego rellenar y sellar esos conductos de un material termoplástico. A continuación hay que Reconstruir la corona mediante técnicas adhesivas, bien con composite o si la reconstrucción es muy grande, recurrimos a la Porcelana como mejor material para restituir la integridad funcional y anatómica perdida.
Prótesis Dental en Segovia
En Clidentse, el Dr. César Segovia Miguel es quien se encarga de la especialidad de prótesis Fija o Removible, tanto sobre diente, como prótesis sobre Implantes. Porque tu salud bucodental es nuestra prioridad, queremos hacer de tu tratamiento una experiencia positiva.
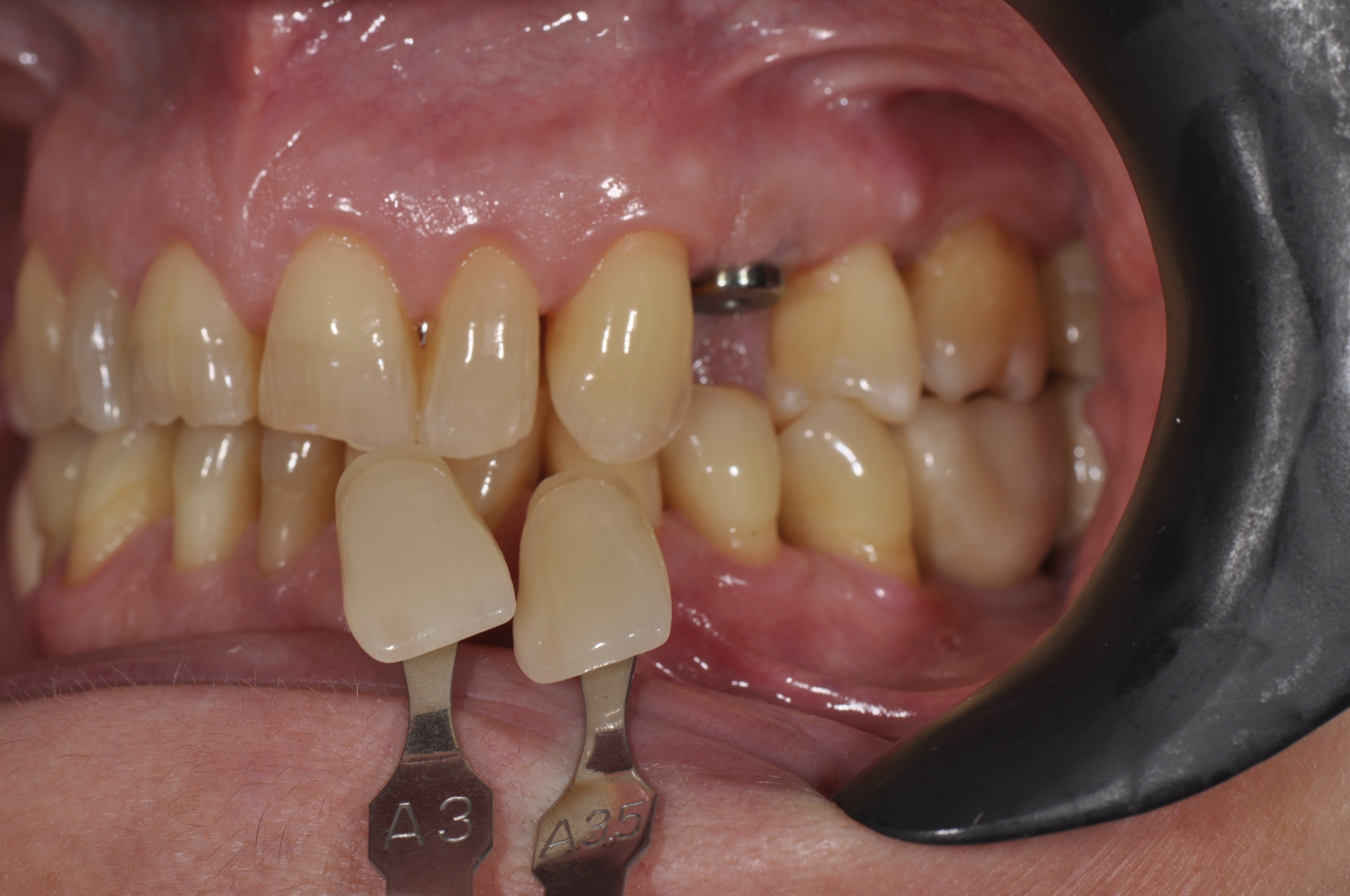
Implantes e implantoprótesis en Segovia
Es la especialidad dedicada a reponer los dientes perdidos/ausentes mediante la colocación de un implante, un “tornillo” de titanio anclado al hueso, y que una vez se ha osteointegrado (soldado al hueso), permite colocar una corona protésica atornillada directamente al implante.
En Clidentse contamos con el Dr. Ángel Silmi para esta especialidad, que es sin duda la opción ideal y más conservadora para reponer los dientes perdidos y/o ausentes. De otra forma, la prótesis fija convencional sobre
diente exige tallar (desgastar) los dientes adyacentes a la ausencia, los cuales hacen de pilares de un puente de 3 piezas para reponer el diente perdido. Con los implantes dentales, esta antigua opción terapéutica fija está desaconsejada. Hoy día se tiende a hacer una Odontología Mínimamente Invasiva. Y tallar los dientes supone un tratamiento excesivamente traumático y debilitante. La resistencia de los dientes está relacionada directamente con la cantidad de diente sano remanente.
Periodoncia en Segovia
Dedicada al tratamiento de las enfermedades que afectan a los tejidos de soporte de los dientes: la encía, el hueso y el ligamento periodontal de los propios dientes. La terapia básica periodontal es la “Limpieza de boca”, técnicamente denominada tartrectomía, que como su propio nombre indica, consiste en la remoción/eliminación del sarro dental (tártaro).
En este punto es muy importante resaltar el papel que tiene en Clidentse nuestra higienista dental (Mayte Carrasco) , dedicada en gran medida a una labor pedagógica, enseñando a los pacientes las técnicas de higiene correctas encaminadas a remover adecuadamente la placa dental, origen y principal factor de riesgo de las diferentes enfermedades peridontales.
Como paciente, la higiene dental, un buen y concienzudo cepillado, es lo más importante que podemos hacer para una buena salud oral. Por eso es muy importante saber cepillarse adecuadamente. Y en ello Mayte se preocupa mucho y bien.


